Cabinet d'Orthodontie du Dr RAHBEH
Orthodontiste à GOUSSAINVILLE
ACCUEIL
LE CABINET
ACTUALITÉS
CAS CLINIQUE
PLAN D'ACCÈS
URGENCES
VIDÉOS 3D
FICHES CONSEILS
QUESTIONNAIRE PRÉ-RDV
CONTACT
ACCUEIL
LE CABINET
ACTUALITÉS
CAS CLINIQUE
PLAN D'ACCÈS
URGENCES
VIDÉOS 3D
FICHES CONSEILS
QUESTIONNAIRE PRÉ-RDV
CONTACT
Cabinet d'Orthodontie du Dr RAHBEH
Orthodontiste à GOUSSAINVILLE
76 Bd Paul Vaillant Couturier
95190
GOUSSAINVILLE
+33 1 34 29 14 69
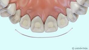
Fil de contention
Vidéos 3D
Partager
Twitter
Partager
Partager
Envoyer
Copier
Cabinet d'Orthodontie du Dr RAHBEH
76 Bd Paul Vaillant Couturier
95190
GOUSSAINVILLE
+33 1 34 29 14 69
Conditions Générales Utilisation
Mentions légales
Politique de confidentialité et charte cookie
Charte déontologique
Ordre national
Annuaires chirurgiens dentistes
Hygiène & Asepsie
Honoraires & Remboursement
Création par
Connexion